MEDizzy
MEDizzy
Iqra
Iqraabout 3 years ago
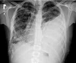
Causes of massive hemothorax

Causes of massive hemothorax

Known causes include tumour, anticoagulant therapy, arteriovenous malformation, pulmonary emboli, and tuberculosis. Tube thoracostomy drainage to evacuate unclotted blood and monitor bleeding is the first consideration in cases of haemothorax.

0
Other commentsSign in to post comments. You don't have an account? Sign up now!

Recent MCQs















Show more MCQs

Recent flashcard sets















Show more flashcards