
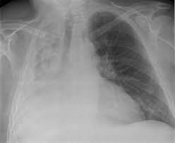
A massive hemothorax is defined as blood drainage >1,500 mL after closed thoracostomy and continuous bleeding at 200 mL/hr for at least four hours. Five patients were identified all requiring emergency surgery. Delayed massive hemothorax presented 63.6±21.3 hours after blunt chest trauma.