MEDizzy
MEDizzy
Iqra
Iqraabout 3 years ago
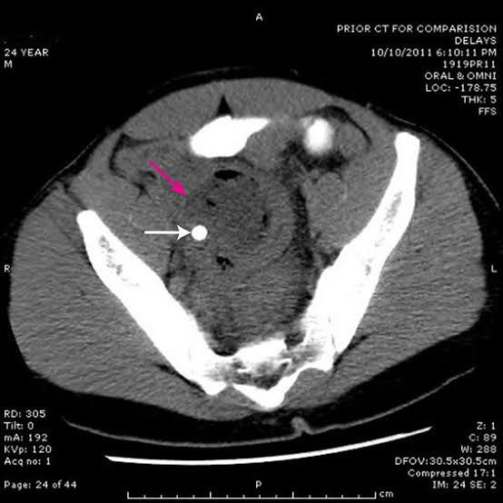
Symptoms of Pelvic Abscess

Symptoms of Pelvic Abscess

There can be one or more abscesses. CT scan of the pelvis showing a large intra-abdominal mass. ... You may have: Swollen belly. Diarrhea. Fever or chills. Lack of appetite and possible weight loss. Nausea or vomiting. Weakness. Cough.

0
Other commentsSign in to post comments. You don't have an account? Sign up now!

Recent MCQs















Show more MCQs

Recent flashcard sets















Show more flashcards