
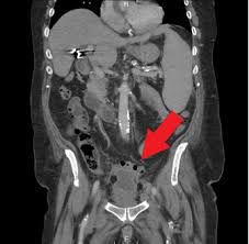
A pelvic abscess is a life-threatening collection of infected fluid in the pouch of Douglas, fallopian tube, ovary, or parametric tissue. Usually, a pelvic abscess occurs as a complication after operative procedures. It starts as pelvic cellulitis or hematoma spreads to parametrial tissue.