
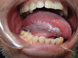
Leukoplakia is often associated with the following: Heavy smoking. Use of chewing tobacco or snuff Chewing areca nut (also known as betel nut), which grows in the tropics of Asia, the Pacific, and parts of east Africa. Heavy use of alcohol (although not all studies show this link). Some cases of leukoplakia have no known cause (this is called idiopathic leukoplakia).