
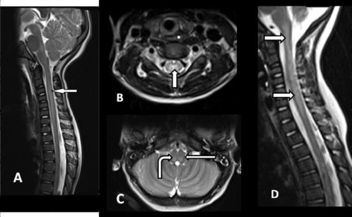
Acute flaccid myelitis (AFM) is an uncommon but serious neurologic condition. It affects the nervous system, specifically the area of the spinal cord called gray matter, which causes the muscles and reflexes in the body to become weak. Increases in AFM cases have occurred in 2014, 2016, and 2018 in the U.S.