
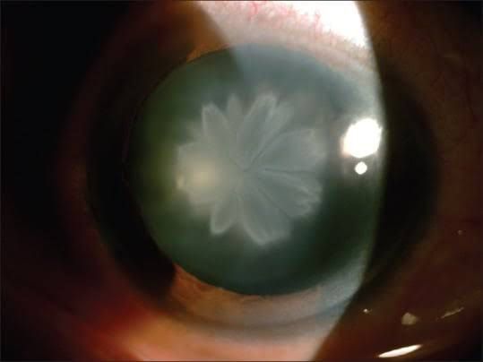
Rosette cataract is a type of traumatic cataract. Traumatic cataract is the clouding of the lens that occurs either by blunt trauma to the head or eye region or penetrating ocular trauma resulting in the disruption of the lens fibers. This in turn prevents a clear image from forming on the retina.