MEDizzy
MEDizzy
Iqra
Iqraabout 3 years ago
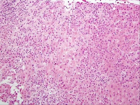
Acute Hepatitis

Acute Hepatitis

Acute hepatitis is a term used to describe a wide variety of conditions characterized by acute inflammation of the hepatic parenchyma or injury to hepatocytes resulting in elevated liver function indices.

0
Other commentsSign in to post comments. You don't have an account? Sign up now!

Recent MCQs















Show more MCQs

Recent flashcard sets















Show more flashcards