
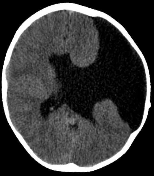
Schizencephaly is a rare congenital (present from birth) brain malformation in which abnormal slits or clefts form in the cerebral hemispheres of the brain. The signs and symptoms of this condition may include developmental delay, seizures, and problems with brain-spinal cord communication.