
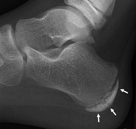
Sever's disease is a painful condition of the heel that occurs in growing children. It happens when the tendon that attaches to the back of the heel (the Achilles tendon) pulls on the growth plate (the apophysis) of the bone of the heel (the calcaneus).