
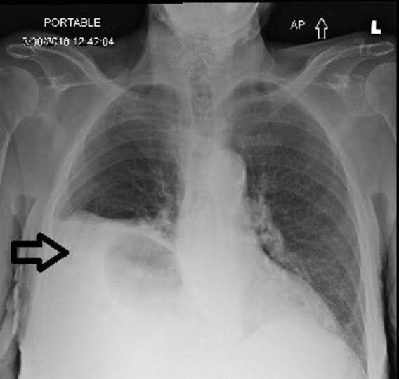
Morgagni hernias are rare congenital diaphragmatic defects that can lead to bowel obstruction and incarceration if not repaired. Surgery can be performed through either an open incision or minimally invasive techniques through the chest or the abdomen. As most of these defects are not discovered until later in childhood or adulthood, the long-term prognosis is good, with a low recurrence rate.