
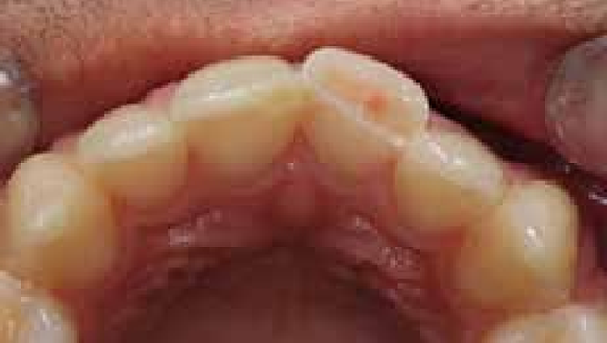
Enamel-dentine fracture is a complete fracture of the tooth enamel and dentine without the exposure of the pulp. Pulp sensibility testing is recommended to confirm pulpal health. Treatment depends on how close the fracture is in relation to the pulp. If a tooth fragment is available, it can be bonded to the tooth.