
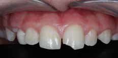
An enamel fracture, or chip, is a complete fracture of the tooth enamel without the involvement of the dentine and pulp. A fracture occurs when a tooth contacts a hard object with enough force to break a section of enamel. Chips form with minimal plastic deformation since enamel is strong but brittle.