
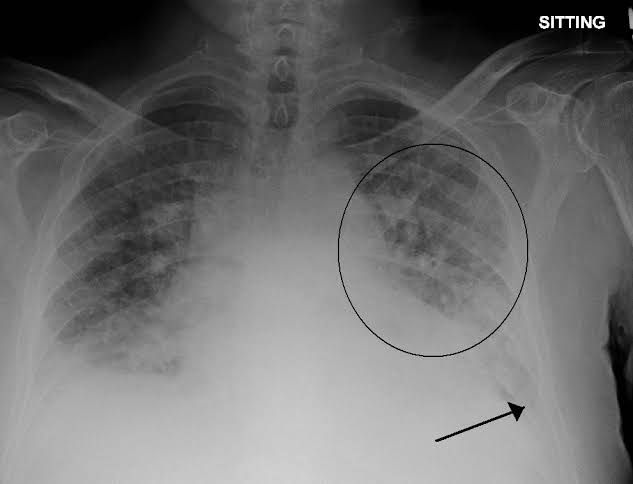
Pulmonary edema is a condition caused by too much fluid in the lungs. This fluid collects in the many air sacs in the lungs, making it difficult to breathe. In most cases, heart problems cause pulmonary edema. But fluid can collect in the lungs for other reasons. These include pneumonia, contact with certain toxins, medications, trauma to the chest wall, and traveling to or exercising at high elevations.