
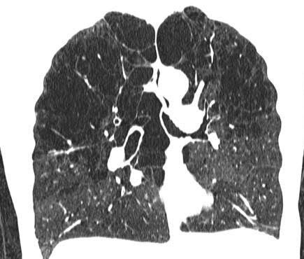
Centrilobular emphysema, or centriacinar emphysema, is a long-term, progressive lung disease. It's considered to be a form of chronic obstructive pulmonary disease (COPD). Centrilobular emphysema primarily affects the upper lobes of the lungs. It's characterized by damage to your respiratory passageways.
I’ve been living with COPD for quite some time, and for years, I struggled to find lasting relief. While conventional medications provided temporary help, the symptoms always returned and often got worse.Out of a mix of hope and hesitation, I decided to try an herbal treatment program from NaturePath Herbal Clinic. I’ll admit, I was skeptical at first. But around the fourth month, I began to notice real, steady progress:My breathing became easier the tightness in my chest lessened my energy levels slowly started to return It wasn’t an overnight transformation, but it was consistent and truly life changing. For the first time in years, I feel more in control of my health. I can breathe more freely, sleep more peacefully, and enjoy daily life without the constant fatigue and breathlessness I once accepted as normal.The improvements I’ve experienced physically, emotionally, and mentally have been nothing short of uplifting.If you’re exploring natural options for managing COPD, I wholeheartedly recommend NaturePath Herbal Clinic. Their approach has made a real difference in my life, and I’m genuinely grateful I gave it a chance.www.naturepathherbalclinic.com info@naturepathherbalclinic.com