
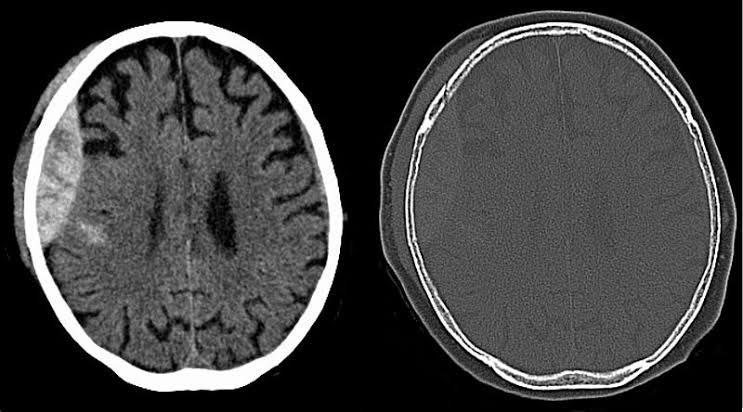
Extradural haematoma (EDH) is defined as an acute haemorrhage between the dura mater and the inner surface of the skull. An EDH can cause compression of local brain structures and a rise in intracranial pressure. If intracranial pressure continues to rise, cerebellar herniation may occur leading to brainstem death.