
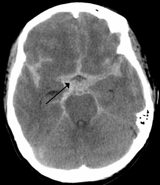
A subarachnoid hemorrhage means that there is bleeding in the space that surrounds the brain. Most often, it occurs when a weak area in a blood vessel (aneurysm) on the surface of the brain bursts and leaks. The blood then builds up around the brain and inside the skull increasing pressure on the brain.