
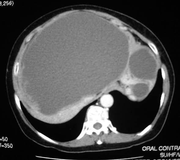
Hydatid disease is a parasitic infestation of humans caused by Echinococcus granulosus. Dogs and some wild carnivores like foxes are definitive hosts, harbouring worms in their intestine. Eggs are passed in the faeces and eaten by the intermediate hosts, and larvae encyst in the liver, lungs, and other organs.