
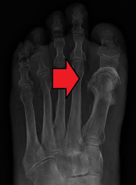
Osteomyelitis is inflammation or swelling that occurs in the bone. It can result from an infection somewhere else in the body that has spread to the bone, or it can start in the bone — often as a result of an injury. Osteomyelitis is more common in younger children (five and under) but can happen at any age.