
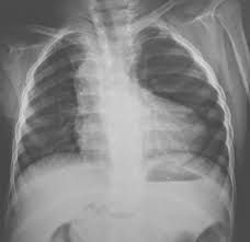
A 'boot-shaped' heart ("cœur en sabot" in French) is the description given to the appearance of the heart on plain film in some cases of Tetralogy of Fallot. It describes the appearances of an upturned cardiac apex due to right ventricular hypertrophy and a concave pulmonary arterial segment.