
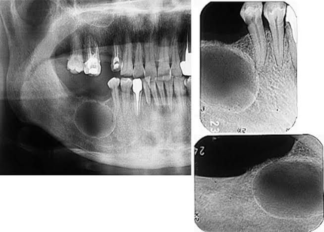
Odontogenic keratocysts (OKCs), first described by Philipsen in 1956 [1], are benign intraosseous lesions of odontogenic origin that account for about 10% of jaw cysts. They are characterised by an aggressive behaviour with a relatively high recurrence rate Odontogenic keratocysts (OKCs) are generally thought to be derived from remnants of the dental lamina (rests of Seres), traumatic implantation or down growth of the basal cell layer of the surface epithelium, or reduced enamel epithelium of the dental follicle