
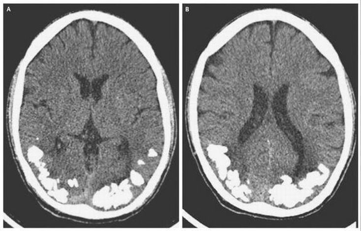
For 10 years a young man in Brazil had been suffering from throbbing headaches and vision problems. On close examination, it turned out there were small stone-like calcium deposits in his brain. This was apparently an extreme complication brought about by Celiac disease, an autoimmune disorder that over time affected the lining of the small intestine reduced the body's ability to absorb nutrients. It is unclear how exactly celiac disease resulted in calcification in the brain, but researchers said it is possible that the patient's lowered ability to absorb iron may have had a role.
Celiac disease is an autoimmune disease ,so gluten free diet improve pt. Condition
Which nutrient cause of this condition??and what is treatment of this condition by drug or surgery ?
malnutrition caused the condition , it is extremely rare complication , treated by surgury
This requires surgery, the Ca2+ deposits are stone like and therefore can't be removed by the body. A gluten free diet will stop the build up but it will forever be there without surgical intervention. The headaches are from increased cranial pressure, they will also cause developmental difficulties if not removed. This may include normal hormonal activity when reaching puberty and everyday hormonal release. Also because it is in the occipital lobe, I estimate that over time it may cause visual perception issues.