MEDizzy
MEDizzy
Hunain
Hunainover 3 years ago
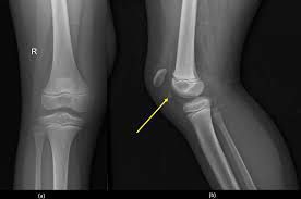
Platella fracture

Platella fracture

A patella fracture is a break in your kneecap, the bone that covers your knee joint. It's usually caused by a traumatic injury, such as a fall or a blow to your kneecap. A patella fracture can be simple or complex. Some fractures require surgery to repair.

1
Other commentsSign in to post comments. You don't have an account? Sign up now!

Recent MCQs















Show more MCQs

Recent flashcard sets















Show more flashcards