
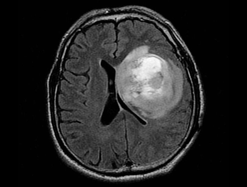
Glioblastomas are generally found in the cerebral hemispheres of the brain, but can be found anywhere in the brain or spinal cord. Glioblastomas usually contain a mix of cell types. It is not unusual for these tumors to contain cystic mineral, calcium deposits, blood vessels, or a mixed grade of cells. Glioblastomas are usually highly malignant—a large number of tumor cells are reproducing at any given time, and they are nourished by an ample blood supply. Dead cells may also be seen, especially toward the center of the tumor. Because these tumors come from normal brain cells, it is easy for them to invade and live within normal brain tissue. However, glioblastoma rarely spreads elsewhere in the body.