
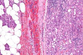
Acinic cell carcinoma is an uncommon low-grade malignant tumor of the salivary glands, in which some cells resemble normal acinic cells. Most of these tumors occur in the parotid gland. Women are affected more often than men, and the age at occurrence is earlier than in other salivary gland cancers.