
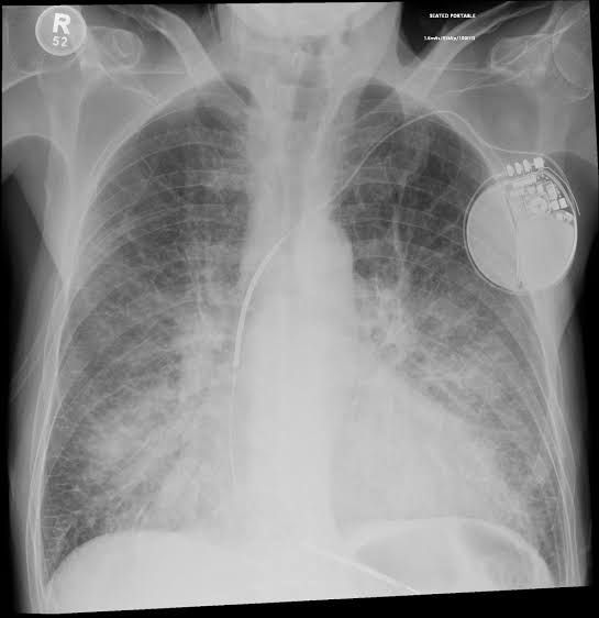
Pulmonary congestion is defined as accumulation of fluid in the lungs, resulting in impaired gas exchange and arterial hypoxemia. It occurs sequentially, first developing in the hilar region of the lungs, followed by filling of the interstitial space and finally, in its most severe form, by alveolar flooding.