Feed
Library
Learning
Discuss
Leaderboard
Journal
Sign in
Login
Sign up
Sign in
Feed
Library
Learning
Discuss
Leaderboard
Journal
Naqshband Kuzabi
almost 4 years ago
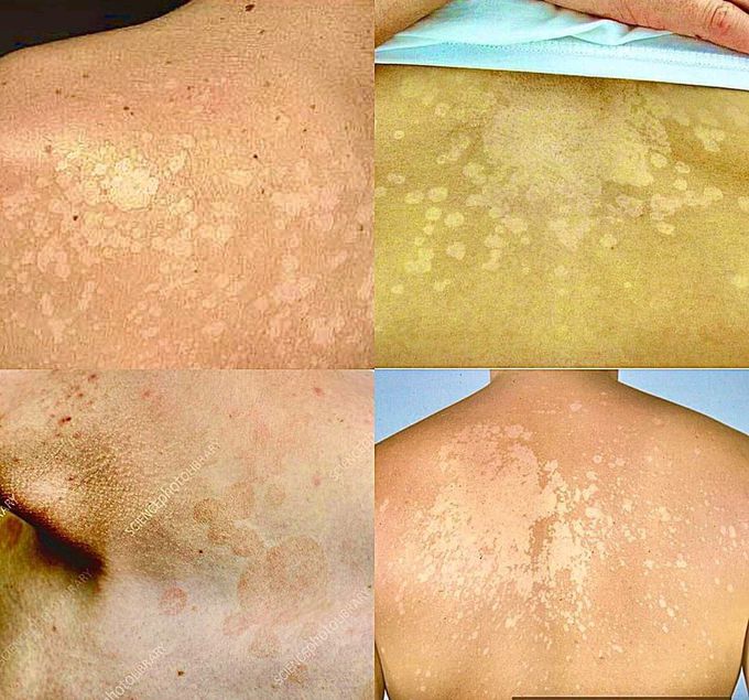
Tinea Versicolor
Dermatologist
Fungaldiseases
Fungal Infection
Axillary
1
0
0
Other comments
Sign in
to post comments. You don't have an account?
Sign up now!
Related posts
Complications of atopic dermatitis
Causes of Pemphigus
Causes of Cradle Cap
Female patient, 23 years old
Tinea Capitis
Tinea Corporis (Ring Worm) Management
Tinea Versicolor Healing Stages
Tinea Versicolor Healing Stages
Meninges
Fungal infections. Like bacteria, there are many different fungi. They live on and in your body. When your fungi get overgrown or when harmful fungi get into your body through your mouth, your nose or a cut in your skin, you can get sick.
Recent MCQs
Show more MCQs
Recent flashcard sets
Show more flashcards
Feed
Learn
Add
Search
Discuss