MEDizzy
MEDizzy
Dr Vijay Sharma
Dr Vijay Sharma almost 4 years ago
#Imagebasedinfo:-
➖➖➖➖➖➖
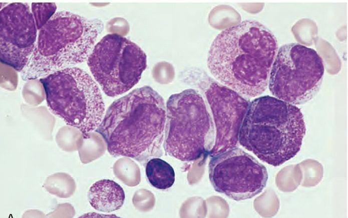
Acute  promyelocytic  leukemia  with  the  t(15;17)  (FAB  M3  subtype). 
➖➖➖➖➖➖➖
🔴 Bone  marrow  aspirate  shows  neoplastic promyelocytes  with  abnormally  coarse  and  numerous  azurophilic  granules. 

🟣 Other  characteristic  findings  include  the  presence  of  several  cells  with " bilobed  nuclei" and  a  cell  in  the  center  of  the  field  that  contains  multiple  needle-like  "Auer  rods" .

#Imagebasedinfo:- ➖➖➖➖➖➖ Acute promyelocytic leukemia with the t(15;17) (FAB M3 subtype). ➖➖➖➖➖➖➖ 🔴 Bone marrow aspirate shows neoplastic promyelocytes with abnormally coarse and numerous azurophilic granules. 🟣 Other characteristic findings include the presence of several cells with " bilobed nuclei" and a cell in the center of the field that contains multiple needle-like "Auer rods" .

13
Other commentsSign in to post comments. You don't have an account? Sign up now!

Recent MCQs















Show more MCQs

Recent flashcard sets















Show more flashcards