
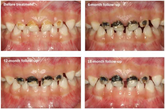
Tooth decay (dental caries) is damage to a tooth that can happen when decay-causing bacteria in your mouth make acids that attack the tooth's surface, or enamel. This can lead to a small hole in a tooth, called a cavity. If tooth decay is not treated, it can cause pain, infection, and even tooth loss.