
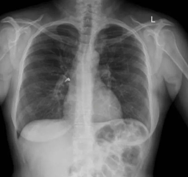
A woman in Australia accidentally inhaled an earring at a New Year's Eve party. The 41-year-old woman, who had asthma, reached into her purse for her inhaler when she began to wheeze during the New Year's festivities. Unbeknownst to her, a loose earring from her purse had become lodged in the inhaler, and she inhaled it when she used the device. The earring scratched the back of the woman's throat, causing her to wheeze more and cough up blood, before it became lodged in her right bronchus. Thankfully, the doctors were able to remove the earring, and the woman healed quickly. By: https://www.livescience.com/37919-oddest-medical-case-reports.html