
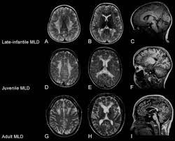
Metachromatic leukodystrophy is a rare hereditary (genetic) disorder that causes fatty substances (lipids) to build up in cells, particularly in the brain, spinal cord and peripheral nerves. This buildup is caused by a deficiency of an enzyme that helps break down lipids called sulfatides.