MEDizzy
MEDizzy
A
Aliabout 8 years ago
Discussion

Discussion

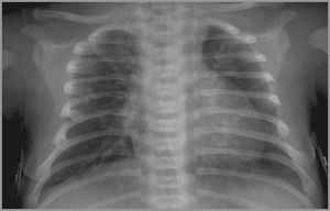
Newborn 32 week gestation need ventilation since birth What is your Dx?

534
Top rated comment
about 8 years ago

Congenital heart dis...VSD or TOG

Other commentsSign in to post comments. You don't have an account? Sign up now!
about 8 years ago

What is the dx?

about 8 years ago

I am asking

about 8 years ago

Transposition of the great artheries?

about 8 years ago

The R) lung not developed.

Recent MCQs















Show more MCQs

Recent flashcard sets















Show more flashcards