
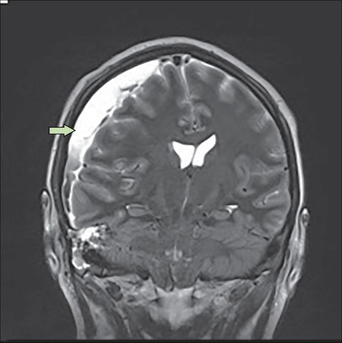
Subdural empyema refers to collection of pus between dura and arachnoid mater. It is an intracranial abscess. The consequences includes focal neurological deficits secondary to extrinsic pressure and inflammation of brain and meninges. The patient with subdural empyema typically gives history of prior airway infection, otitis media, or sinusitis. Seizures, high grade fever, confusion, vomiting, and amblyopia are common complaints. Management includes stabilization of patient, antibiotics, and surgical drainage. Reference: https://emedicine.medscape.com/article/1168415-treatment#d6 Image via: https://www.thelancet.com/journals/laninf/article/PIIS1473-3099(18)30096-3/fulltext