Feed
Library
Learning
Discuss
Leaderboard
Journal
Sign in
Login
Sign up
Sign in
Feed
Library
Learning
Discuss
Leaderboard
Journal
DR.Anupama S Bπ
almost 4 years ago
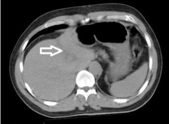
Traumatic injury, CECT
grade 2 liver injury
Trauma
Liver
Traumasurgery
1
0
1
Other comments
Sign in
to post comments. You don't have an account?
Sign up now!
Related posts
Liver Enzymes
Subluxation
Extrusive Luxation
Intrusive Luxation
Liver cirrhosis: Definition, pathology, diagnosis, treatment and prevention |Β Kenhub
Avulsion
Types of Dental Trauma
Traumatic exposure of pulp
Traumatic ulcer
Fatty Liver
Recent MCQs
β
β
β
β
β
β
β
β
β
β
Show more MCQs
Recent flashcard sets
β
β
β
β
β
β
β
β
β
β
Show more flashcards
Feed
Learn
Add
Search
Discuss