
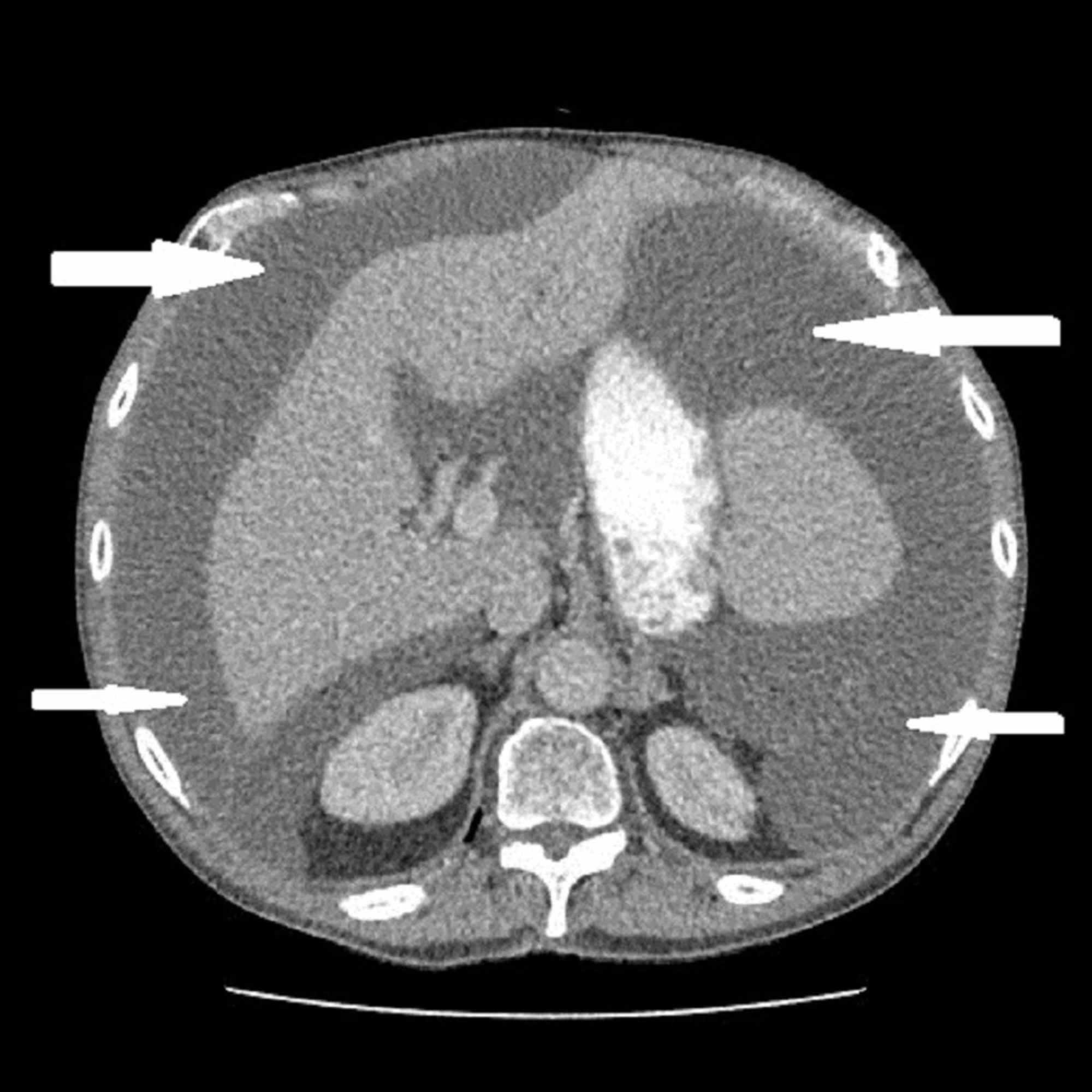
Pseudomyxoma peritonei is also referred to as 'jelly belly'. The condition is characterized by accumulation of mucinous substance in abdomen and pelvis. It usually occurs secondary to rupture of mucinous appendix tumor. Ovarian tumor may also metastasize to form similar picture. Following CT findings are usually evident: - scalloped surface of liver, spleen, and mesentery - rim-like calcifications - narrowing at ileocecal valve and pouch of Douglas - central displacement of small bowel and mesentery - thickened undersurface of the diaphragm Reference: https://learningradiology.com/notes/gunotes/pseudomyxomacorrect.htm Image via: https://www.cureus.com/articles/21402-pseudomyxoma-peritonei-secondary-to-a-primary-appendix-tumor-a-belly-full-of-jelly