
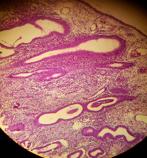
Dont remember much from pathology course but it looks like epothelium in a wrong place ... So it will be 1
We can rule out other two.... In bph the glands have two layers of cells just like in normal prostate.. Just there no is inc..... While in teratoma you can see different types of tissue like muscle.. Bone.. Nerve.. Gland etc... Here we don't see that... So its end hyp