Feed
Library
Learning
Discuss
Leaderboard
Journal
Sign in
Login
Sign up
Sign in
Feed
Library
Learning
Discuss
Leaderboard
Journal
Dr Meredith Grey
about 4 years ago
general surgery
Medicine
Med
Medicina
1
1
2
Top rated comment
San562
about 4 years ago
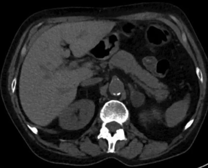
Is this calcification of abdominal aorta?
0
Reply
Other comments
Sign in
to post comments. You don't have an account?
Sign up now!
Related posts
Best Anabolic Steroids Natural Muscle Boosters: A 2025 Review
Lidocaine HCl
Emergency Medications
Breastfeeding and Medications II
Preparation for USMLE
Neurofibromatosis
Women’s Reproductive Health & Daily Wellness
Gelatine Sculpt | Official Website
BurnSlim Official | Support Your Weight Management Journey
Recent MCQs
Show more MCQs
Recent flashcard sets
Show more flashcards
Feed
Learn
Add
Search
Discuss