Feed
Library
Learning
Discuss
Leaderboard
Journal
Sign in
Login
Sign up
Sign in
Feed
Library
Learning
Discuss
Leaderboard
Journal
Dr Meredith Grey
almost 4 years ago
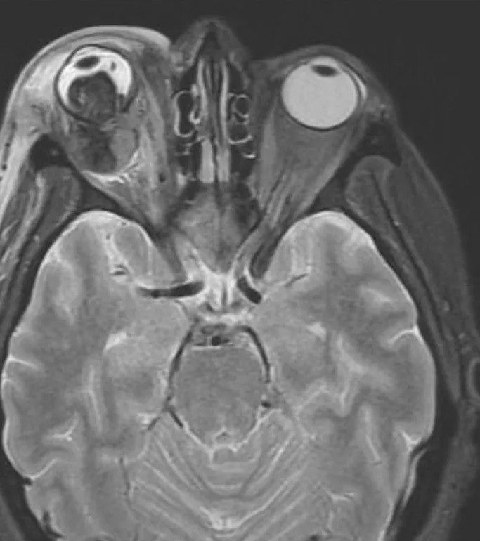
EMERGENCY MEDICINE
Medicine
Emergency
Oftalmologia
2
0
0
Other comments
Sign in
to post comments. You don't have an account?
Sign up now!
Related posts
What????
Best Anabolic Steroids Natural Muscle Boosters: A 2025 Review
Emergency Hormonal Contraception
Naloxone
Lidocaine HCl
Emergency Medications
Breastfeeding and Medications II
Emergency Medications
Neurofibromatosis
Recent MCQs
Show more MCQs
Recent flashcard sets
Show more flashcards
Feed
Learn
Add
Search
Discuss