Feed
Library
Learning
Discuss
Leaderboard
Journal
Sign in
Login
Sign up
Sign in
Feed
Library
Learning
Discuss
Leaderboard
Journal
Dr Meredith Grey
almost 4 years ago
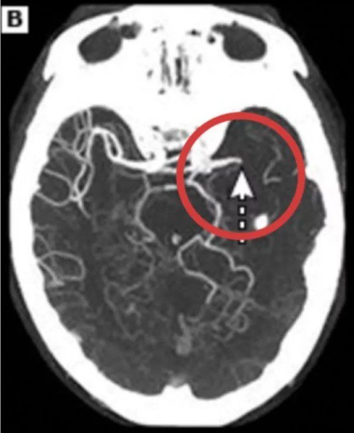
Neurosurgery
Neurosurgery
Neuro
Neurosurgeon
2
0
1
Other comments
Sign in
to post comments. You don't have an account?
Sign up now!
Related posts
Cardiac
Worldâs first: Live 8-cm long worm found in brain of Australian woman - Times of India
Tension type vs Migraine
Surgical Clipping Of Brain Aneurysms
Neuromuscular diseases
What is acoustic neuroma?
Neurological Examination
Necrosis gangrene
Neuro Assessment
Symptoms of absence seizures
Recent MCQs
Show more MCQs
Recent flashcard sets
Show more flashcards
Feed
Learn
Add
Search
Discuss