
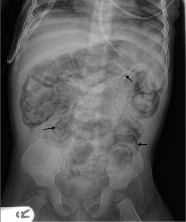
Pneumatosis intestinalis refers to gas in the wall of the gut. The presence of air in the gut wall may be indicative of benign or dangerous conditions. If associated with ischemia, it is considered dangerous. Additionally, in children, the condition may be indicative of necrotizing enterocolitis. Reference: https://emedicine.medscape.com/article/371955-overview#a1 Image via: https://www.jpeds.com/article/S0022-3476(14)00444-2/fulltext