Feed
Library
Learning
Discuss
Leaderboard
Journal
Sign in
Login
Sign up
Sign in
Feed
Library
Learning
Discuss
Leaderboard
Journal
Samuel Asante
almost 4 years ago
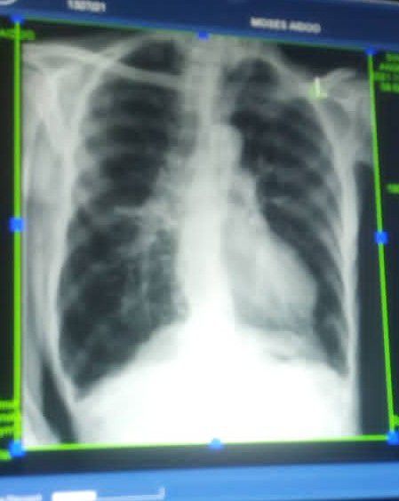
Case study
Medicine
Pleural
Pneumology
11
0
1
Other comments
Sign in
to post comments. You don't have an account?
Sign up now!
Related posts
Pectus carinatum
https://medizzy.com/learning/mcq/question/37902929
?? What?
What????
Best Anabolic Steroids Natural Muscle Boosters: A 2025 Review
Lidocaine HCl
Emergency Medications
Breastfeeding and Medications II
Neurofibromatosis
Recent MCQs
Show more MCQs
Recent flashcard sets
Show more flashcards
Feed
Learn
Add
Search
Discuss