
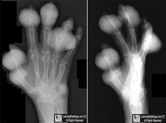
Chronic gout can lead to deposition of calcium urate crystals in soft tissues. These deposits are called tophi. Punched out erosions may also be seen in case of gout. Reference: http://learningradiology.com/archives2010/COW%20423-Gout%20hand/goutcorrect.htm Image via: http://learningradiology.com/archives2010/COW%20423-Gout%20hand/goutcorrect.htm
Punched out ,lytic lesion with overhanging edge and sclerotic border is characteristic of chronic Gout