
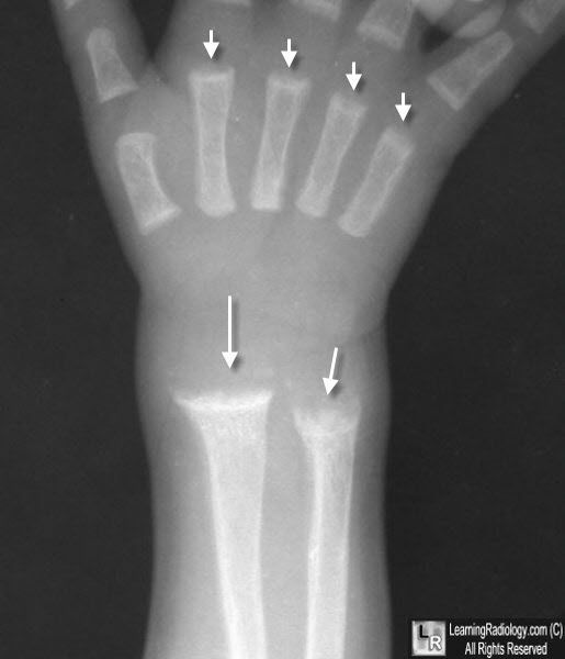
Rickets is a disease characterized by inadequate mineralization of bones in children which may be secondary to nutritional deficiencies or some other disorder. It causes softening of bones. Radiological findings in case of Rickets are: - fraying of metaphysis - cupping of concavity on metaphysis - splaying of metaphyseal ends Reference: https://radiopaedia.org/articles/rickets Image via: http://learningradiology.com/archives04/COW%20088-Rickets/ricketscorrect.htm