MEDizzy
MEDizzy
Ramsha Zaheer
Ramsha Zaheerabout 2 years ago
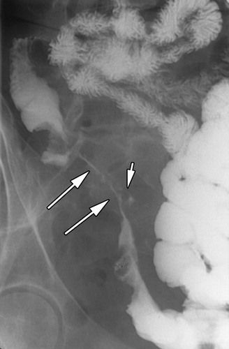
String Sign in Crohn's Disease

String Sign in Crohn's Disease

This x-ray shows "string sign" in a patient with crohn's disease due to luminal narrowing of the terminal ileum.

11
Other commentsSign in to post comments. You don't have an account? Sign up now!

Recent MCQs















Show more MCQs

Recent flashcard sets















Show more flashcards