
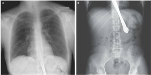
X-ray shows a knife that became stuck in a 30-year-old woman's esophagus and stomach, causing her "chest discomfort," according to a report of her case.The woman had previously had the eating disorder bulimia, and had inserted the knife into the back of her mouth in order to demonstrate that she had lost her gag reflex. But she laughed unexpectedly, and the knife fell into her body, according to Dr. Aida Venado and Dr. Sarah Prebil, of Emory University School of Medicine, who reported the woman's case in the New England Journal of Medicine in 2012.Doctors were able to remove the knife in a procedure called an esophagogastroduodenoscopy, in which a small camera is used to view the esophagus. The woman recovered, and she was able to eat without complications, according to the report.