MEDizzy
MEDizzy
Abeer Fatima
Abeer Fatimaabout 4 years ago
Triad of Kartagener's Syndrome

Triad of Kartagener's Syndrome

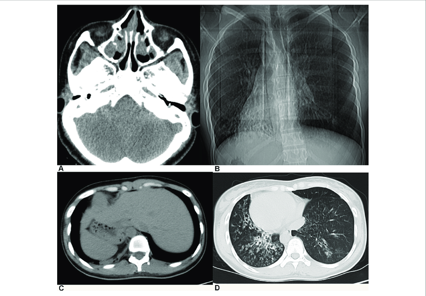
Kartagener's syndrome is an autosomal recessive genetic disorder. It is characterized by the triad of: 1. situs inversus 2. bronchiectasis 3. chronic sinusitis Reference: https://www.ncbi.nlm.nih.gov/pmc/articles/PMC3519024/ Image via: https://www.researchgate.net/publication/335322558_Identification_of_Pathogenic_Mutations_and_Investigation_of_the_NOTCH_Pathway_Activation_in_Kartagener_Syndrome/figures?lo=1

8
Top rated comment
about 4 years ago

Other name of this syndrome is immotile cilia syndrome.

Other commentsSign in to post comments. You don't have an account? Sign up now!

Recent MCQs















Show more MCQs

Recent flashcard sets















Show more flashcards