Feed
Library
Learning
Discuss
Leaderboard
Journal
Sign in
Login
Sign up
Sign in
Feed
Library
Learning
Discuss
Leaderboard
Journal
A
Asajadianfar
over 7 years ago
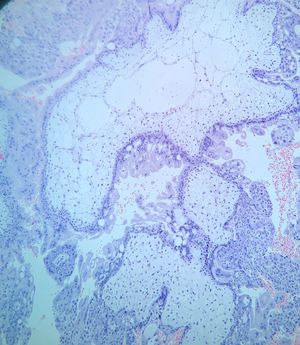
Mole,complete type
Cistern formation ,avascular, with proliferation of trophoblast
Mole
M
Hydatiform
4
0
0
Other comments
Sign in
to post comments. You don't have an account?
Sign up now!
Related posts
Difference between Normal mole and melanoma
Rapid Transformation from Hydatidiform Mole to Invasive Mole
Melanoma
Introduction to Melanocytic Lesions.
Atypical mole - What is a mole?
What is the ABCDE rule of melanoma?
#diagnosis
Hydatidiform mole
Hydatidiform mole
Hydatidiform mole
Recent MCQs
Show more MCQs
Recent flashcard sets
Show more flashcards
Feed
Learn
Add
Search
Discuss