
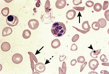
Following features are exhibited on peripheral blood film in case of sicke cell disease: - sickle cells - Howell-Jolly bodies - Target cells Reference: https://www.uptodate.com/contents/image/print?imageKey=HEME%2F64449&topicKey=PEDS%2F5927&source=see_link Image via: https://www.uptodate.com/contents/image/print?imageKey=HEME%2F64449&topicKey=PEDS%2F5927&source=see_link