Feed
Library
Learning
Discuss
Leaderboard
Journal
Sign in
Login
Sign up
Sign in
Feed
Library
Learning
Discuss
Leaderboard
Journal
Oliver
over 7 years ago
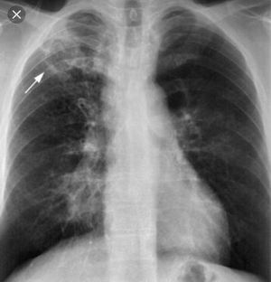
Primary Tuberculosis
Medicine
Radiology
Pulmonary
Tuberculosis
Tb
show 2 more
529
0
2
Other comments
Sign in
to post comments. You don't have an account?
Sign up now!
Related posts
Spine Radiology I
Spine Radiology II
Breastfeeding and Medications II
Tuberculosis of theTestis
Neurofibromatosis
Pulmonary Embolism
Women’s Reproductive Health & Daily Wellness
Gelatine Sculpt | Official Website
BurnSlim Official | Support Your Weight Management Journey
Recent MCQs
Show more MCQs
Recent flashcard sets
Show more flashcards
Feed
Learn
Add
Search
Discuss