
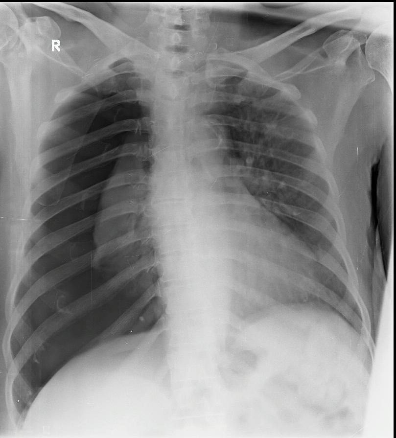
55yrs old male patient admitted for debridement for ah diabetic foot on pre operative work up found to be having spontaneous right pneumothorax thorax with out fall in saturation at room air. Right ICD insertion done and taken up for debridement
Never seen a pnumo with a low oxygen. The highest o2 i have seen with a pnumo was 87%